A KöR® Kit for Every Whitening Case Type
All of your whitening patients are different. One-size-fits-all whitening just doesn’t cut it. KöR has several kits for, as well as highly experienced clinical specialists to guide you through, any scenario, including young teeth, dark geriatric teeth, congenitally dark teeth, smokers, red wine drinkers, A,B,C or D teeth shades, translucency, opacity, white spots, brown spots, excessively sensitive teeth, patients with obsessive expectations, tetracycline stains, dentinogenesis imperfecta, amelogenesis imperfecta, fluorosis and other dysmineralization, idiopathic whitening resistance and anything else you can think of.

Why Constant Refrigeration Of Teeth Whitening Gels?
If you provide professional teeth whitening for your patients, you have probably found that some batches of whitening gels seem to work much better than others – even when using the same brand. And some batches don’t seem to work much at all, especially those shipped to you during the hot summer months!
Click here to learn WHY CONSTANT REFRIGERATION OF WHITENING GELS makes such a huge difference…
Phenomenal Teeth Whitening Results… Without Lights or Lasers

At some point you probably got sucked into all of the hype surrounding bleaching lights and lasers. And you probably also found out that they just don’t work as advertised.
You’ve heard about KöR Whitening. And you may have heard it’s the best there is. So, if KöR is so effective, why, exactly, does KöR not utilize any lights or lasers? We’re glad you asked…
In a nutshell, adding energy (like from heat or a light or laser) into an endothermic chemical reaction will indeed enhance the breakdown reaction. But the problem is that the chemical breakdown of peroxide is NOT endothermic. It’s an exothermic reaction, which requires giving off energy as it breaks down.
Click here to see more detailed scientific information and references regarding whitening lights and lasers…
According to Le Chatelier’s Principle of Chemical Equilibrium, if you force energy (such as heat or photon energy from a light or laser) into an exothermic reaction that is trying to get rid of energy, there is zero benefit to the breakdown reaction, and you may even slow it down.
Ask yourself this: If lights and lasers are supposed to be so effective at enhancing the breakdown of peroxide, why does every whitening light and laser company sell whitening gels with chemical accelerators (such as dual barrel systems)? No, you’re right. It makes no sense.
The fact is that chemical accelerators allow us to force the peroxide to break down as rapidly or slowly as we’d like. And it’s also a fact that use of lights and lasers during high concentration in-office whitening causes the pulp to release Substance P, which is a neurotransmitter that causes pain. So why even consider using a light or laser?
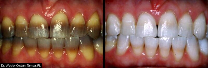
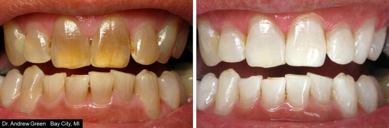
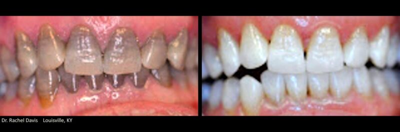
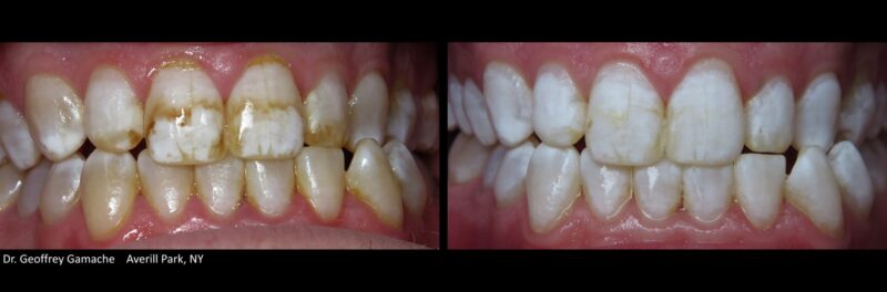
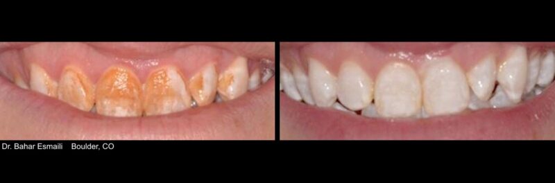
Before & After
Almost any whitening company can show you a few impressive before and after photos. But we have literally hundreds of cases, submitted by doctors like you, showing the phenomenal results you can get with the KöR® Whitening System.












